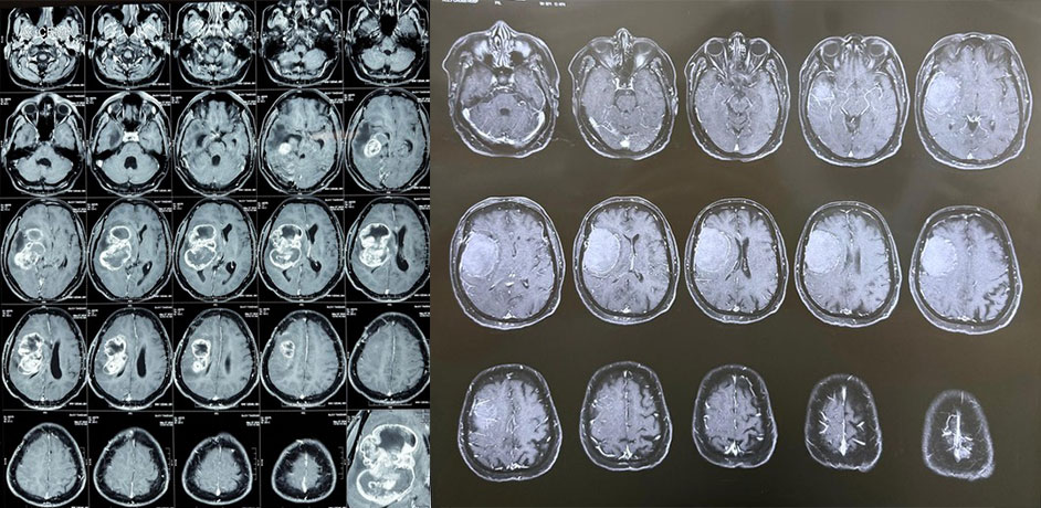
Navigation and US Guided Tumor Resection
Dr. Ujwal Yeole specializes in navigation and ultrasound-guided tumor resections, offering advanced surgical precision for brain and spine tumors. These techniques allow real-time visualization of tumors, enabling safer removal while preserving surrounding healthy tissue.
With his extensive training and expertise, Dr. Yeole combines modern neuronavigation systems with intraoperative ultrasound to achieve maximum tumor removal while minimizing risks. This approach enhances surgical accuracy, improves outcomes, and shortens recovery time.
If you or a loved one is facing a brain or spine tumor, consult Dr. Ujwal Yeole for the most advanced, safe, and effective neurosurgical treatment options.
Frequently Asked Questions
Q. What is navigation-guided tumor resection?
It is a surgical technique that uses advanced imaging and navigation systems to precisely locate and remove tumors. Guiding surgeons about the tumor location and approach to it and ensures completeness of removal.
Q. How does ultrasound help during brain surgery?
Intraoperative ultrasound provides real-time images of the brain, helping surgeons see the tumor’s exact location and extent during surgery. It also helps finding out residual tumor and helps in complete excision.
Q. What are the benefits of navigation and US-guided surgery?
Benefits include greater accuracy, reduced risk of complications, preservation of healthy brain tissue, and improved surgical outcomes.
Q. Is navigation and ultrasound-guided surgery safe?
Yes, these advanced techniques are designed to increase safety by giving surgeons better visualization and control during tumor removal.
Q. Who is a candidate for navigation and US-guided tumor resection?
Patients with brain or spine tumors that require precise surgical removal are ideal candidates for this advanced procedure.
Experience safer, more precise tumor removal with advanced Navigation & Ultrasound-Guided Surgery – Consult Dr. Ujwal Yeole today.
