Brain And Spine Tumors
Dr. Ujwal Yeole is a highly skilled neurosurgeon with expertise in diagnosing and treating both brain and spine tumors. Having earned his MCh in Neurosurgery from NIMHANS and a DNB in Neurosurgery, followed by fellowship training from Tata Cancer hospital Mumbai and University of Pittsburgh USA in Neurosurgical Oncology and Gamma Knife Radiosurgery he combines advanced training with continuous learning to deliver the latest and most effective treatments.
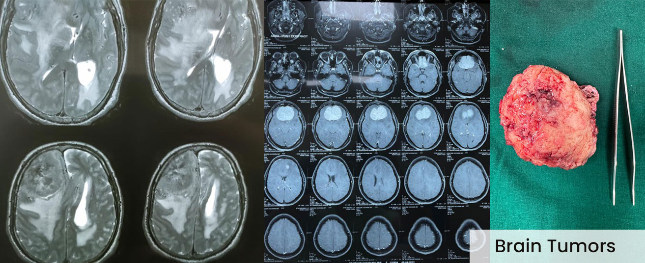
Brain and spine tumors such as gliomas, meningiomas, metastatic brain tumors, and spinal cord tumors can significantly impact health and quality of life. Dr. Yeole’s precise surgical skills, supported by advanced technology, help improve outcomes and minimize risks.
Every case is carefully studied, with a thorough evaluation of treatment options before recommending surgery. This patient-centric approach ensures that each individual receives personalized, safe, and comprehensive care, making Dr. Yeole a trusted choice for brain and spine tumor management.
Frequently Asked Questions
Q. What are the common symptoms of brain and spine tumors?
Headaches, seizures, vision problems, weakness, numbness, or difficulty with balance may indicate brain or spine tumors.
Q. How are brain and spine tumors diagnosed?
They are usually detected by thorough clinical assessment followed by MRI, CT scans, and other advanced imaging techniques.
Q. Are all brain and spine tumors cancerous?
No. Some tumors are benign (non-cancerous), while others can be malignant (cancerous). Both may still require treatment depending on size, location, and symptoms.
Q. What treatment options are available?
Treatment may include surgery, radiosurgery, radiation therapy, chemotherapy, or a combination, depending on the type and size of the tumor.
Q. Is surgery always necessary for brain and spine tumors?
Not always. Some small, benign, or slow-growing tumors may be managed with observation, or with gamma knife radiosurgery while others may need surgical removal for better outcomes.
Take the first step towards better brain & spine health – Contact Dr. Ujwal Yeole today.
